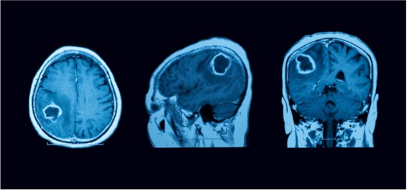
טיפול באמבוליזציה של גידולי מוח
ישנם גידולי מוח עם אספקת דם עשירה המודגמת גם ב- MRI. טרם כריתה כירורגית, ניתן "לחנוק" את הגידול באמצעות חסימה יזומה של האספקה העורקית של הגידול. זו מתבצעת בעזרת הזרקת חומר תסחיפי נוזלי (על בסיס אלכוהול) בעורקים המזינים את הגידול, טרם הניתוח הפתוח לכריתתו. כך ניתן "לייבש" את הגידול מאספקת דם עורקית, לעודד נמק עוד בטרם כריתתו ולהקטין משמעותית את שיעור הדימום בעת הניתוח הסופי – ובכך לקצר את משך הניתוח ומשך ההרדמה, שכן המנתח מתמודד פחות עם דימומים פעילים בעת הניתוח. כתוצאה מכך המנותח יזדקק פחות למנות דם.
אמבוליזציה של גידולי מוח – שאלות ותשובות
אמבוליזציה משביתה את אספקת הדם לגידול ומפחיתה את איבוד הדם במהלך כריתה כירורגית.
האמבוליזציה משמשת לרוב כדי לבודד את הגידול מכלי הדם הסובבים. על ידי בידוד הגידול, הסרת הגידול דרך פתח בגולגולת יכולה להיות בטוחה יותר שכן הגידול עלול לדמם פחות. הדבר ידרוש פחות עירוי דם במהלך ניתוח הגידול בפועל ובמקרים מסוימים הדבר עלול להוביל לקיצור זמני הניתוח. ניתוח הסרת הגידול בפועל יתקיים במועד מאוחר יותר, בדרך כלל למחרת.
מבוצעת בד"כ כהליך טרום-ניתוחי לגידול ראשוני של קרומי המח המכונה מנינגיומה
תחת הרדמה כללית מניחים צנתר לתוך עורק במפשעה או בפרק כף היד ומכוונים תחת שיקוף רנטגן לכלי הדם המזין את הגידול שצריך לסגור. האמבוליזציה (תיסחוף) מבוצעת על ידי הזרקת חומרים שונים דרך הצנתר (קטטר) בזמן שהוא בתוך כלי הדם כדי לחסום את זרימת הדם. החומר התסחיפי מפזר מיקרו-חלקיקים או דבק ביולוגי נוזלי שגורם לדם להיקרש ולחסום את זרימת הדם.
ההליך שלו מסתיים בדרך כלל תוך שעה עד שעתיים; עם זאת, זה עשוי להימשך עד מספר שעות.
בעיקר זליגת חומר תסחיפי לענף בריא בסביבת הגידול המזין את רקמת המוח ולא את הגידול. בעקבות זאת ייחסם עורק תקין וייתכן והמטופל יתעורר עם סימנים של שבץ מוח בהתאם לטריטוריה של העורק המעורב. מדובר יחד עם זאת בשיעור סיבוכים נמוך ביותר (פחות מ-5%) כך שהתועלת עולה על הסיכון וגוברת על בעיות הבטיחות בפעולה.
כן. אבחנה של גידול במוח עשויה, מובן, להפחיד את המטופל ובני משפחתו. עם זאת, אפשרויות הטיפול השתפרו משמעותית במהלך העשורים האחרונים, ובזכות אמבוליזציה של גידולי מוח, יותר מטופלים ונוירוכירורגים מצליחים בתהליך הטיפול.

